こんにちは。
本日は ”目元美しくなるクマ取り” で、脂肪注入しなくとも馴染む医学的根拠をお話しします。
まず、解剖から

すごく簡略化してますが、断面から見てます。
眼窩脂肪が突出してくる事にて目元のクマが顕著となります。

経結膜脱脂術は、眼瞼結膜からアプローチして、眼窩隔膜を剥離し、眼窩脂肪を摘出する手法です。

手術が終了すると、そこからダウンタイムです。
表面的には腫れや内出血が治るのは1週間前後でしょうか。しかし、侵襲の加わった組織はまだまだダウンタイム中なのです。

組織は侵襲が加わってるてことは、炎症反応が生じてます。
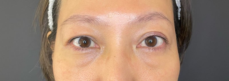
炎症が生じると修復しようと反応し、瘢痕化の過程で組織が収縮します。
なので凹んでる印象となります。
写真は1ヶ月後です。

では、瘢痕化した組織はそのままかというと、そうではございません。
組織は正常化していきます。

正常化の過程は通常は1年程度です。
ただ、見た目の変化としては3〜6ヶ月程度で馴染んできます。
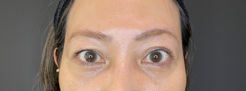
写真は1年後です。

ね。しっかり馴染んでるのが分かりますよね。
美しい。
当院は必ず、このよな説明を行っており、なので皆様
”目元美しくなるクマ取り”
を選択されます。
侵襲を加えると一時的に凹むのは生体反応として正常なサインです。
また、この患者様みたいな経過ではなく、1ヶ月後でもしっかりと馴染んでる患者様も多くおられます。
詳細はインスタグラムを拝見してください。
医学的根拠で自信を持って”目元美しくなるクマ取り”をご提供しております。
是非、カウンセリングにお越しください。
最近では全国からご予約を頂いており、ご希望日時で施術が難しい場合もございます。予めご了承ください。
統括院長 和倉隆造
📍AELLE CLINIC
《表参道本院🏥》
☎︎03-6804-6663
〒150-0001
東京都渋谷区神宮前3-5-2 EFビル
《銀座院🏥》
☎︎03-6263-2245
〒104-0061
東京都中央区銀座2-2-19
藤間ビル6階
10:00-19:00(最終受付18:30)




